レントゲン写真に表れる
大動脈の石灰化
それは心臓から送り出された血液が通る、体の中でもっとも太い血管「大動脈」の「石灰化」です。石灰化とは血管の壁にカルシウムが沈着していることですが、動脈硬化が進み、脂質がたまって慢性炎症が起きた状態です。
40代では見られませんが男性は50代になると増えてきます。女性は閉経後に動脈硬化が進みやすいので、60歳前後になると大動脈の石灰化が見られることがあります。
レントゲン写真で示しましょう。

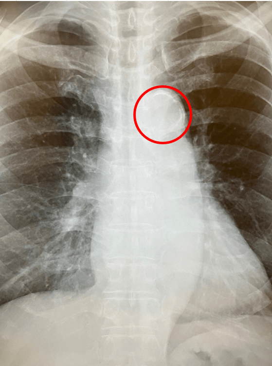
胸部レントゲン検査の画像。大動脈の壁にカルシウムが沈着し、石灰化していることがわかる(赤丸部分) 資料提供=東丸貴信医師
このように、大動脈に石灰化があれば全身の動脈硬化が進んでいるといえます。実際に大動脈石灰化があると、心疾患や脳卒中のリスクが数倍増加することが複数報告されています。
ですので石灰化が見られたら放置せずに、首の血管(頸動脈)や心臓の血管(冠動脈)など全身の血管をチェックしたほうがいいでしょう。
大動脈解離の症状を放置すれば
2週間以内に80%が死亡
大動脈の石灰化は、脳血管心疾患だけではなく、突然死につながる病「大動脈解離」を発症する恐れも出てきます。文字通り、大動脈が解離する(動脈が裂ける)ことです。
ニュースで車を運転中に大動脈解離を発症して亡くなったケースを見聞きしたことはないでしょうか。大動脈解離発症時は、【強烈な胸痛】と【血圧が非常に高く】なるのが特徴です。放置すれば24時間以内に20%、2週間以内に80%が死亡するといわれています。
実はちょうど昨日、患者さんの中で大動脈解離を発症した方がいました。その患者さんは解離の広がりが自然に止まり、解離腔を流れる血液も固まったので、幸いにも命が助かりました。今後は血圧をコントロールしながら経過を観察することになります。
大動脈解離の発症には、高血圧や動脈硬化がリスク因子となりますが、見た目でいえば【肥満】が危ない。仮に血圧が高くないとしても、肥満は大動脈解離のリスクを上げるのです。
そして、もうひとつ突然死につながる大きなものは血管の“こぶ”、「瘤(りゅう)」です。