青魚にオリーブオイルの
組み合わせは血管に良い
なぜなら、魚の脂肪に多く含まれる「オメガ3系脂肪酸」には、血液を固まりにくくする作用があるため脳梗塞や心筋梗塞の引き金となる血栓ができることを防ぐからです。血管の老化を防止し、何らかの原因で血管に炎症が起きた場合も鎮め、さらには心筋細胞を活性化して高血圧症や加齢に伴って心臓が硬くなるのを防ぐ働きもあります。
オメガ3系脂肪酸には、秋冬に旬を迎えるサンマ、サバ、ブリ、カツオ、マグロなどにも多く含まれているので、積極的に摂取したいですね。私はオメガ3系脂肪酸が多く含まれる青魚のひとつ、イワシにオリーブオイルをかけていただいています。

オリーブオイルに含まれるオメガ9は血中のLDL(悪玉)コレステロールを減らす作用があり、心血管障害を予防する食事として知られる地中海食にもふんだんに使われています。イワシ(オメガ3)とオリーブオイル(オメガ9)を合わせることで、相乗効果で血管に良い効果が期待できるでしょう。
切除すれば完治する病気と違い、進行した動脈硬化を治すことは非常に難しいのです。日頃の生活を見直しながら、早期に発見したいですね。
胸部レントゲン検査で
お願いしたほうがいいこと
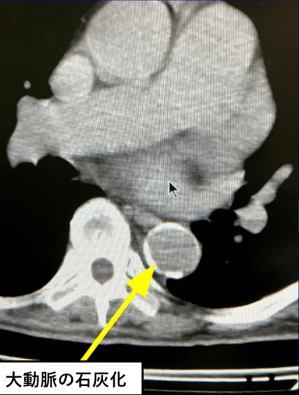
さて、突然死を防ぐ検査として前回、胸部レントゲン検査を行うと、大動脈解離や心疾患、脳卒中の発症リスクが高まる「大動脈石灰化」を見つけられることがあるとお伝えしました。
大きい瘤であれば、「胸部大動脈瘤」も胸部レントゲン検査で発見できることがあります。
高血圧症や脂質異常症、糖尿病などの動脈硬化の危険因子をもつ人は、健康診断や人間ドックの際に胸部レントゲン検査の撮影を「正面」と「側面」の2方向でしてもらうといいでしょう。
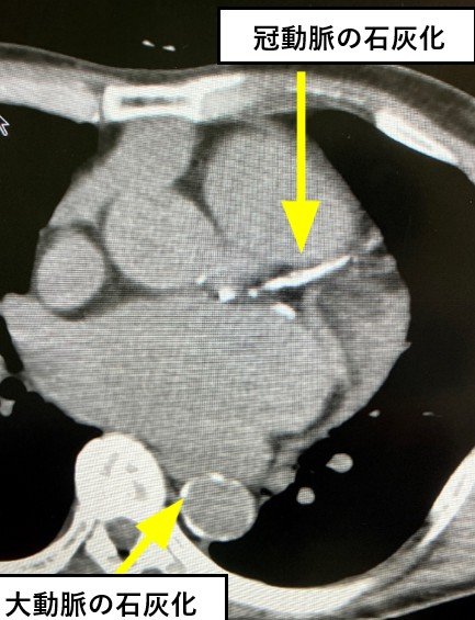
ちなみにオプションでCTをつければ、狭心症に関係する冠動

